عقب زدگی زانو یکی از ناهنجاریهای شایع اندام تحتانی است که در آن مفصل زانو بیش از حالت طبیعی به سمت عقب خم میشود و حالت غیرطبیعی به خود میگیرد.
این وضعیت که در اصطلاح پزشکی به آن ژنو رکورواتوم یا رکورواتوم زانو نیز گفته میشود، میتواند به مرور باعث درد، ضعف عضلات و حتی تخریب مفصل شود.
برخی افراد به صورت مادرزادی با زانوی عقب رفته متولد میشوند و برخی دیگر در اثر آسیبها یا ضعف عضلات به این مشکل دچار میشوند. آشنایی با علت، علائم و روشهای درمانی رکورواتوم زانو میتواند مانع پیشرفت آن شود و از بروز آسیبهای جدیتر جلوگیری کند.
در این مقاله از زاپیاشاپ به طور کامل درباره زانو عقب رفته، دلایل بروز آن و بهترین راهکارهای درمان و حرکات اصلاحی صحبت میکنیم.
عقب زدگی زانو (ژنو رکورواتوم) چیست؟
رکورواتوم یا ژنو رکورواتوم به حالتی گفته میشود که مفصل زانو در وضعیت ایستاده بیش از ۵ تا ۱۰ درجه به سمت عقب خم میشود. در این حالت، محور طبیعی زانو دچار اختلال شده و فشار بیش از حد بر روی سطوح مفصلی، رباطها و عضلات اطراف آن وارد میشود.
این وضعیت در ظاهر باعث میشود پاها در حالت صاف، حالتی خمیده به عقب پیدا کنند و فرد احساس کند که زانوها در هنگام ایستادن «قفل» میشوند.
اگر ژنورکورواتوم بهموقع تشخیص داده نشود و تحت درمان قرار نگیرد، میتواند به مشکلات دیگری مانند درد مزمن زانو، عدم تعادل عضلانی و تغییر فرم پاها منتهی شود.
پیشنهدی : درمان کشیدگی پشت زانو
تفاوت رکورواتوم زانو با سایر ناهنجاریهای زانو
رکورواتوم زانو یک ناهنجاری در صفحه ساژیتال (جلو – عقب) است و زمانی رخ میدهد که مفصل زانو بیش از حد به سمت عقب خم میشود. در حالیکه در بسیاری از ناهنجاریهای دیگر مثل ژنو والگوم (پای ضربدری) یا ژنو واروم (پای پرانتزی) تغییر محور در صفحه فرونتال (چپ – راست) رخ میدهد و زانوها به سمت داخل یا بیرون منحرف میشوند.
بنابراین ممکن است ظاهراً زانو در حالت طبیعی قرار داشته باشد اما در لحظه ایستادن یا قفل شدن مفصل، نیروهای مخرب به رباطها و مفصل زانو وارد شود. دانستن تفاوت این ناهنجاریها به انتخاب درمان صحیح کمک میکند.
| نوع ناهنجاری | محور تغییر | شکل ظاهری پا | فشار وارد بر مفصل |
| رکورواتوم زانو (عقب زدگی زانو) | جلو ـ عقب (ساژیتال) | زانو در حالت ایستاده به سمت عقب خم میشود | افزایش فشار روی رباط صلیبی قدامی و سطح مفصلی زانو |
| ژنو واروم (پای پرانتزی) | چپ ـ راست (فرونتال) | زانوها از هم فاصله میگیرند، قوس پا به بیرون میرود | فشار بیشتر بر قسمت داخلی مفصل زانو |
| ژنو والگوم (پای ضربدری) | چپ ـ راست (فرونتال) | زانوها به سمت داخل متمایل میشوند | فشار بیشتر بر قسمت خارجی مفصل زانو |
علائم و عوارض عقب زدگی زانو
عقب زدن زانو معمولاً با علائم خفیف شروع میشود و به تدریج با افزایش فشار روی مفصل، مشکلات بیشتری ظاهر میشود. اگر این ناهنجاری درمان نشود، میتواند علاوه بر زانو، بر عضلات همسترینگ، مفصل لگن و حتی نحوه راه رفتن فرد نیز اثر بگذارد. تشخیص بهموقع علائم اولیه کمک میکند از پیشرفت رکورواتوم و ایجاد دردهای مزمن جلوگیری شود.
مهمترین علائم و عوارض عقبزدگی زانو عبارتند از:
- احساس قفل شدن یا کشیدگی هنگام ایستادن طولانی
- خالی کردن ناگهانی زانو در هنگام راه رفتن
- درد در جلوی زانو یا پشت مفصل (بهخصوص بعد از فعالیت)
- فشار بیش از حد بر رباط صلیبی قدامی (ACL)
- سفتی و کاهش دامنه حرکتی مفصل زانو
- ضعف و کوتاهی عضلات همسترینگ
- افزایش احتمال ساییدگی مفصل و آرتروز زانو
- اختلال در راستای اندام و تغییر در الگوی راه رفتن
علت عقب زدگی زانو
ژنو رکورواتوم میتواند به دو صورت مادرزادی یا اکتسابی بهوجود آید. در حالت مادرزادی، ساختار استخوانها و رباطهای زانو از همان دوران کودکی مستعد خم شدن بیشازحد به سمت عقب است.
در نوع اکتسابی، عوامل محیطی مانند آسیبهای ورزشی، ضعف عضلات یا وضعیتهای نادرست هنگام ایستادن باعث میشوند مفصل زانو بهتدریج در مسیر ناهنجار قرار بگیرد. در ادامه به هر کدام به صورت جداگانه میپردازیم:
علت ژنورکورواتوم مادرزادی
ژنورکورواتوم مادرزادی زمانی اتفاق میافتد که ساختار استخوانها، رباطها یا غضروفهای مفصل زانو در دوران رشد جنین بهدرستی شکل نگرفته باشد. در این حالت، کودک از همان بدو تولد دچار عقب زدگی زانو است و در سالهای اولیه زندگی هنگام ایستادن یا راه رفتن، خم شدن غیرطبیعی زانو به سمت عقب مشاهده میشود. شل بودن بافت همبند و ناهنجاری ژنتیکی از مهمترین دلایل بروز این مشکل هستند.
مهمترین علتهای ژنورکورواتوم مادرزادی عبارتند از:
- شکل غیرطبیعی استخوان ران یا درشتنی در دوران جنینی
- شلی بیش از حد رباطها (هیپرلاکسیتی مادرزادی)
- اختلالات ژنتیکی و سابقه خانوادگی
- اختلال در تکامل بافت غضروفی مفصل زانو
- همراهی با سایر ناهنجاریهای اسکلتی (مثل صافی کف پا یا دررفتگی مادرزادی لگن)
علت رکورواتوم اکتسابی
در بسیاری از موارد عقب زدگی زانو در دوران نوجوانی یا بزرگسالی ایجاد میشود و به آن رکورواتوم اکتسابی گفته میشود. این نوع ژنورکورواتوم معمولاً به دلیل عدم تعادل عضلانی (ضعف عضلات پشت ران و سفتی عضلات جلو ران)، آسیب به رباط صلیبی یا قرار گرفتن طولانیمدت در وضعیتهای نادرست هنگام ایستادن ایجاد میشود.
با گذشت زمان، فشار دائمی روی ساختارهای جلویی مفصل باعث میشود زانو بیشتر به سمت عقب منحرف شود.
شایعترین علتهای رکورواتوم اکتسابی عبارتند از:
- ضعف عضلات همسترینگ و عضلات پشت ران
- سفتی یا کوتاهی عضله چهارسر ران
- آسیب یا پارگی رباط صلیبی قدامی (ACL)
- عادت به ایستادن با زانوهای قفلشده (بهویژه در مشاغل ایستاده یا رژه)
- انجام حرکات ورزشی با فرم نامناسب مفصل زانو
- عدم درمان مناسب آسیبهای قبلی زانو
این نوع از عقبزدگی زانو را میتوان با کمک زانوبند زاپیامکس بهبود بخشید. زانوبند زاپیامکس محصلی مدرن از شرکت زایس ترونیک کشور آلمان است. این زانوبند مجهز به فناوری UIC است که از سه تکنولوژی برای درمان مشکلات زانو بهره میگیرد.
امواج اولتراسوند در زانو بند زاپیامکس باعث بالا رفتن گردش خون در ناحیه زانو شده و به مسدود شدن مسیر گیرندههای درد کمک میکند. امواج اینفرارد باعث بالا رفتن دمای زانو شده و امواج کلاک پالس با ایجاد ضرباتی آرام زانو و عضلات آن را ماساژ میدهد.
تمام این کارکردها باعث میشوند که هر بار استفاده از زانوبند زاپیامکس در حکم یک جلسه فیزیوتراپی باشد. برای خرید زانوبند زاپیامکس میتوانید از طریق نمایندگی زاپیامکس در سایت زاپیاشاپ اقدام کنید.
عقب زدگی زانو در کودکان
کودکان مبتلا به ژنورکورواتوم معمولاً در سنین پایین هنگام ایستادن یا راه رفتن اولین نشانههای خم شدن بیش از حد زانو به سمت عقب را نشان میدهند. در این سن، مفاصل و استخوانها هنوز در حال شکلگیری هستند و بنابراین میزان پاسخدهی به درمان بسیار بالاست.
اگر والدین به این موضوع دقت کنند و بهموقع به یک متخصص ارتوپد یا فیزیوتراپیست مراجعه شود، میتوان با روشهای غیرجراحی جلوی پیشرفت عقبزدگی زانو در کودکان را گرفت.

آیا ژنو رکورواتوم در کودکی قابل درمان است؟
به دلیل انعطافپذیری بالای مفاصل و استخوانها در دوران کودکی، عقبزدگی زانو در این سنین شانس بسیار بالایی برای درمان موفق دارد. اگر درمان در همان مراحل اولیه شروع شود، میتوان با استفاده از بریس مخصوص، حرکات اصلاحی و تقویت عضلات، محور زانو را به حالت طبیعی برگرداند.
البته روند درمان باید توسط متخصص فیزیوتراپی تحت نظر ارتوپد طراحی شود و بهصورت مداوم پیگیری شود تا نتیجه کامل حاصل شود.
بهترین زمان مراجعه به متخصص
هرچه تشخیص عقب زدگی زانو در سنین پایینتر انجام شود، احتمال اصلاح کامل آن بیشتر است. بهترین زمان برای مراجعه به پزشک زمانی است که والدین اولین علائم خم شدن غیرطبیعی زانو به سمت عقب را در هنگام ایستادن یا راه رفتن کودک مشاهده میکنند.
در این مرحله هنوز مفصل در حال رشد است و میتوان با درمانهای غیرتهاجمی جلوی پیشرفت ژنورکورواتوم را گرفت.
نشانههایی که باید جدی گرفته شده و کودک به متخصص ارجاع داده شود:
- زانو در حالت ایستاده بیش از حد به سمت عقب میرود
- هنگام راه رفتن، مفصل زانو حالت “قفلشدن” به خود میگیرد
- کودک از درد خفیف یا احساس کشیدگی در جلوی زانو شکایت میکند
- ساق پا در حین راه رفتن به سمت عقب منحرف میشود
- سابقه خانوادگی ناهنجاریهای اسکلتی وجود دارد
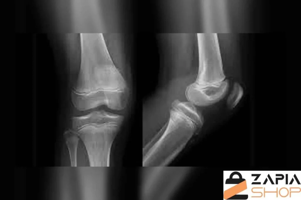
روشهای تشخیص زانو عقب رفته
برای تشخیص دقیق عقب زدگی زانو، ابتدا پزشک با مشاهده وضعیت ایستادن و راه رفتن بیمار میزان خم شدن زانو را بررسی میکند. در معاینه فیزیکی، دامنه حرکتی مفصل و وضعیت عضلات همسترینگ و چهارسر ران ارزیابی میشود. در صورت مشکوک بودن به ژنو رکورواتوم، تستهای اضافی و تصویربرداری برای تعیین شدت ناهنجاری انجام میشود تا بهترین روش درمانی انتخاب شود.
معاینه و تستهای فیزیکی
در اولین مرحله، پزشک متخصص با بررسی وضعیت ایستادن بیمار، میزان خم شدن زانو به سمت عقب را مشاهده میکند. سپس با انجام تستهای فیزیکی ساده مانند اندازهگیری زاویه هایپراکستنشن زانو یا بررسی عملکرد عضلات پشت ران، شدت ناهنجاری مشخص میشود. در این مرحله ممکن است از بیمار خواسته شود روی یک پا بایستد یا چند قدم راه برود تا نحوه کنترل مفصل و ثبات زانو ارزیابی شود.
در معاینه فیزیکی معمولاً به موارد زیر توجه میشود:
- زاویه خم شدن زانو در حالت ایستاده (بیش از ۵ تا ۱۰ درجه)
- وضعیت عضلات چهارسر ران و همسترینگ
- ثبات رباطهای زانو (خصوصاً ACL)
- نحوه راه رفتن و الگوی حرکتی
- وجود درد یا کشیدگی هنگام خم و صاف کردن زانو
تصویربرداری
در برخی موارد، برای بررسی دقیقتر وضعیت مفصل و تشخیص شدت عقب زدگی زانو، پزشک از روشهای تصویربرداری استفاده میکند. رادیوگرافی ساده میتواند زاویه بین استخوان ران و درشتنی را در حالت ایستاده نشان دهد و مشخص کند که آیا هایپراکستنشن از نوع استخوانی است یا فقط به دلیل ضعف عضلانی اتفاق میافتد.
در موارد پیچیدهتر، MRI نیز ممکن است برای ارزیابی سلامت رباطها (بهویژه ACL) و بافت نرم اطراف زانو تجویز شود.
تصویربرداری به پزشک کمک میکند تا:
- زاویه دقیق رکورواتوم زانو را اندازهگیری کند.
- آسیب یا کشیدگی رباط صلیبی قدامی (ACL) را بررسی کند.
- تغییرات احتمالی روی سطوح غضروفی مفصل را شناسایی کند.
- برنامه درمانی دقیقتری برای بیمار تنظیم کند.

درمان عقب زدگی زانو
هرچقدر این ناهنجاری زودتر شناسایی شود، روند درمان سادهتر و نتیجه موفقیتآمیزتر خواهد بود. روش مناسب در درمان عقب زدن زانو بر اساس سن بیمار و میزان تغییر محور مفصل انتخاب میشود.
در بسیاری از بیماران میتوان با روشهای غیرجراحی مانند فیزیوتراپی، حرکات اصلاحی و زانوبند جلو پیشرفت رکورواتوم را گرفت و محور زانو را به حالت طبیعی نزدیک کرد. تنها در موارد پیشرفته یا همراه با آسیب رباطی، جراحی بهعنوان گزینه نهایی در نظر گرفته میشود.
زانوبند برای عقب زدگی زانو
زانوبندهای مخصوص رکورواتوم زانو به گونهای طراحی شدهاند که از خم شدن بیش از حد مفصل به سمت عقب جلوگیری میکنند و در عین حال اجازه حرکت طبیعی زانو را میدهند. این زانوبندها معمولاً دارای نوار پشتی تقویتی یا مفصل محدودکننده هستند که میزان هایپراکستنشن را کنترل میکند.
استفاده از آن بهویژه در مراحل اولیه ناهنجاری یا در دوران کودکی میتواند مانع پیشرفت زانو عقب رفته شود و در کنار حرکات اصلاحی، باعث اصلاح تدریجی محور مفصل گردد.
مزایای استفاده از زانوبند در رکورواتوم زانو:
- جلوگیری از خم شدن غیرطبیعی زانو به سمت عقب
- کاهش فشار روی رباط صلیبی قدامی (ACL)
- افزایش ثبات مفصل هنگام ایستادن و راه رفتن
- کمک به اصلاح تدریجی محور مفصل در دوران رشد
- مناسب برای استفاده روزانه و هنگام فعالیتهای بدنی
با انواع زانوبند برای درد زانو |کاربردها و نحوه استفاده صحیح آشنا شوید.
حرکات اصلاحی زانو عقب رفته
تمرینات اصلاحی بهعنوان یکی از مؤثرترین روشهای درمان غیرجراحی در رکورواتوم زانو شناخته میشوند. این حرکات با تمرکز بر تقویت عضلات همسترینگ (پشت ران) و کاهش سفتی عضلات چهارسر ران، به بازگشت محور مفصل زانو به حالت طبیعی کمک میکنند.
نکته مهم این است که تمرینات باید بهصورت منظم و تحت نظر فیزیوتراپیست انجام شوند تا از انجام اشتباه آنها و تشدید ناهنجاری جلوگیری شود.
نمونه حرکات اصلاحی برای زانو عقب رفته:
- کشش عضلات چهار سر ران (در حالت ایستاده یا خوابیده)

- پل باسن (Bridging) برای تقویت عضلات پشت ران و سرینی

- تمرینات تعادلی مانند ایستادن روی یک پا

جراحی در موارد شدید ژنورکورواتوم
در صورتی که عقب زدگی زانو شدید باشد یا به درمان محافظهکارانه پاسخ ندهد، جراحی بهعنوان گزینه نهایی مطرح میشود. در این روش، جراح با استفاده از استئوتومی (برش و اصلاح استخوان) یا بازسازی بافتهای نرم، محور مفصل زانو را اصلاح میکند تا از خم شدن بیش از حد به سمت عقب جلوگیری شود.
این نوع جراحی معمولاً برای بیمارانی انجام میشود که زانوی عقب رفته باعث درد مزمن، عدم تعادل عضلانی یا آسیب رباطها شده و کیفیت زندگی آنها را تحت تأثیر قرار داده است.
مهمترین اهداف جراحی عبارتند از:
- بازگرداندن زاویه طبیعی مفصل زانو
- جلوگیری از آسیب بیشتر به رباطها و غضروف مفصل
- بهبود ثبات و عملکرد مفصل هنگام راه رفتن
- کاهش درد و جلوگیری از آرتروز زودرس
آیا در مورد جراحی زانو با سلولهای بنیادی آشنایی دارد؟ خواندن مقاله تزریق سلول بنیادی به زانو: اثربخشی، مراحل انجام، عوارض و مراقبتها برای شما مفید خواهد بود.
پیشگیری و توصیههای کاربردی
اگرچه برخی موارد عقب زدگی زانو منشأ مادرزادی دارند، اما در بسیاری از افراد میتوان با رعایت نکاتی ساده از ایجاد یا تشدید این ناهنجاری جلوگیری کرد. توجه به وضعیت صحیح بدن هنگام ایستادن، انجام منظم حرکات کششی و تقویتی، و پرهیز از قفلکردن کامل زانوها در حالت ایستاده از جمله نکاتی هستند که نقش مهمی در پیشگیری از ژنو رکورواتوم دارند.
نکاتی برای پیشگیری از زانوی عقب رفته:
- از قفل کردن کامل زانوها هنگام ایستادن طولانی خودداری کنید
- عضلات پشت ران (همسترینگ) را بهطور منظم تقویت کنید
- قبل از فعالیتهای ورزشی حتماً بدن را گرم و عضلات را کشش دهید
- در صورت احساس فشار یا کشیدگی در قسمت جلوی زانو، به متخصص مراجعه کنید
- کفش مناسب و طبی برای راه رفتن یا ورزش استفاده کنید
سخن آخر
در نهایت باید گفت که عقب زدگی زانو اگرچه در نگاه اول مشکل جدی به نظر نمیرسد، اما در صورت بیتوجهی میتواند باعث درد مزمن، تخریب مفصل و تغییر الگوی راه رفتن شود.
خوشبختانه با تشخیص بهموقع، انجام حرکات اصلاحی و استفاده از زانوبند، در بیشتر موارد میتوان از پیشرفت ژنورکورواتوم جلوگیری کرد و عملکرد طبیعی زانو را بهبود داد.
مراقبت از وضعیت صحیح بدن و تقویت عضلات پشت ران سادهترین و مؤثرترین راه برای حفظ سلامت مفصل زانو است.
سوالات متداول
۱. عقب زدگی زانو همان پای پرانتزی است؟
خیر، در زانوی عقبرفته محور مفصل در جهت جلو-عقب تغییر میکند، در حالی که در پای پرانتزی محور در جهت چپ-راست منحرف میشود.
۲. آیا عقب زدگی زانو در کودکان کاملاً قابل درمان است؟
در سنین پایین به دلیل انعطافپذیری زیاد مفاصل، احتمال اصلاح زانوی عقب رفته بسیار بالاست، به شرطی که تشخیص زود هنگام انجام شده و تمرینات یا بریس مطابق نظر متخصص استفاده شود.
۳. برای درمان عقب رفتگی زانو از چه زانوبندی استفاده کنیم؟
برای درمان زانوی عقبرفته اکتسابی میتوانید از زانوبند زاپیامکس استفاده کنید. این زانوبند روند ترمیم طبیعی بدن را سراعت میبخشد.
۴. آیا حرکات اصلاحی میتوانند ژنورکورواتوم شدید را درمان کنند؟
در موارد خفیف تا متوسط حرکات اصلاحی بسیار مؤثر هستند ولی در موارد شدید ممکن است فقط باعث کنترل ناهنجاری شوند و نیاز به جراحی هم وجود داشته باشد.
۵. بهترین تمرین برای تقویت زانو عقب رفته چیست؟
تمرینات تقویت همسترینگ مثل پل باسن و انقباض ایزومتریک عضله پشت ران از مهمترین حرکات اصلاحی برای عقب زدگی زانو هستند.