نحوه انجام عمل تعویض مفصل زانو
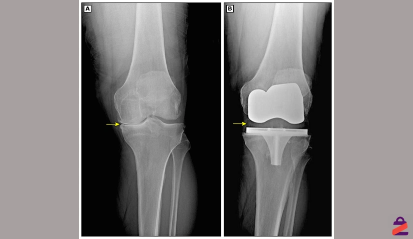
در جراحی تعویض مفصل یا آرتروپلاستی زانو، بیمار تحت بیهوشی عمومی یا بیحسی نخاعی قرار میگیرد. جراح با ایجاد یک برش در جلوی زانو (حدود ۱۵ تا ۲۰ سانتیمتر) به مفصل میرسد.
سپس بخشهای فرسودهی استخوان ران و استخوان درشتنی که سطح مفصل را تشکیل میدهند، با ابزارهای دقیق تراش داده میشوند تا سطحی یکنواخت و آماده برای قرار دادن قطعات مصنوعی ایجاد شود. در صورت نیاز، سطح زیر کشکک هم تراش داده میشود و با یک قطعه پلاستیکی جایگزین میشود.
مطالعه بیشتر: قبل از جراحی بخوانید؛ بهترین آمپول برای آرتروز زانو
بعد اجزای مفصل مصنوعی که معمولاً از فلز (مثل تیتانیوم یا آلیاژ کبالت-کروم) و پلاستیک فشرده ساخته شدهاند، با دقت روی استخوانها نصب میشوند.
این قطعات ممکن است با چسب مخصوص استخوانی در محل خود ثابت شوند. جراح پس از اطمینان از تراز بودن و حرکت روان مفصل، برش را بخیه زده و زانو پانسمان میشود.
- مدت زمان عمل: بین یک تا دو ساعت
- مدت زمان بستری: فرد ۲ تا ۴ روز در بیمارستان میماند و از همان روزهای اول با کمک فیزیوتراپیست تمرینات حرکتی آغاز میشود تا از خشکی، لخته شدن خون و ضعف عضلات جلوگیری شود.
چه کسانی کاندید عمل تعویض مفصل زانو هستند؟
پیش از آنکه بیمار برای تعویض مفصل زانو انتخاب شود، پزشک ابتدا شدت تخریب مفصل، میزان درد، دامنه حرکتی و پاسخ بدن به درمانهای غیرجراحی را بررسی میکند.
مواردی که در ادامه میخوانید شرایط اصلی انجام عمل آرتروپلاستی هستند.
مطالعه بیشتر: انحراف زانو به داخل و خارج
-
تخریب شدید مفصل زانو بهدلیل آرتروز زانو یا روماتیسم مفصلی که باعث درد مداوم و محدودیت حرکتی شده است.
-
عدم اثربخشی درمانهای غیرجراحی مانند داروهای ضدالتهاب، فیزیوتراپی، تزریق ژل یا PRP، و استفاده از زانوبند طبی.
-
درد مزمن حتی در حالت استراحت که مانع خواب یا فعالیتهای روزمره میشود.
-
تغییر شکل واضح زانو مانند پای پرانتزی یا ضربدری که باعث فشار نامتعادل روی مفصل میگردد.
-
آسیب یا شکستگی شدید زانو که منجر به فرسایش یا تغییر شکل استخوانها شده است.
-
محدودیت حرکتی شدید که فرد را در انجام کارهای ساده مانند راه رفتن، بالا رفتن از پله یا نشستن دچار مشکل کرده است.
مراقبتهای بعد از عمل تعویض مفصل زانو
مراقبتهای بعد از عمل تعویض مفصل زانو بخش مهمی از روند درمان هستند و تأثیر مستقیم بر نتیجه نهایی جراحی دارند.
این مراقبتها فقط برای ترمیم زخم نیستند، بلکه کمک میکنند مفصل مصنوعی بهدرستی با بدن تطبیق پیدا کند، حرکت طبیعی زانو برگردد و از عوارضی مثل لخته خون یا خشکی مفصل جلوگیری شود.
مطالعه بیشتر: مراقبت بعد از تعویض مفصل زانو از ۰ تا ۱۰۰
تحرک بهموقع
حرکت دادن زانو از روزهای ابتدایی بعد از جراحی بسیار مهم است. فیزیوتراپیست تمرینهایی را آموزش میدهد که بهصورت ایمن، عضلات ران و ساق را فعال نگه میدارد و از خشکی مفصل، چسبندگی بافتها و لخته شدن خون جلوگیری میکند.
در ابتدا حرکات باید آرام و کوتاهمدت باشند، اما با گذشت چند روز، دامنه حرکت و مدت تمرین بهتدریج افزایش مییابد. حرکت زودهنگام نهتنها درد را کمتر میکند بلکه باعث میشود روند ترمیم زانو سریعتر پیش برود.
بستن زانوبند زاپیامکس و پرهیز از حرکات پرفشار
در ماههای ابتدایی باید از حرکاتی مانند نشستن روی زمین، دویدن، پریدن یا بالا رفتن از پلههای زیاد خودداری شود. برای رعایت این نکته، پزشک ممکن است استفاده از زانوبند فشاری سبک را برای کاهش تورم و ایجاد احساس پایداری در هفتههای نخست توصیه کند.
اما استفاده طولانیمدت از زانوبند معمولی میتواند باعث ضعف عضلات شود، بنابراین باید فقط تا زمان توصیهشده ادامه یابد.
بعد از گذشتن هفتههای اول و بهبود زخم جراحی، پزشک ممکن است استفاده از زانوبند زاپیامکس را توصیه کند.
این زانوبند با استفاده از امواج فراصوت، فروصوت و میدانهای مغناطیسی میتواند برای کاهش درد باقیمانده، بهبود جریان خون و جلوگیری از خشکی مفصل بهعنوان درمان کمکی موثر باشد. البته زاپیامکس جایگزین فیزیوتراپی نیست، اما در کنار آن میتواند روند توانبخشی را تسریع کند.
مراقبت از زخم جراحی
زخم جراحی باید همیشه خشک و تمیز نگه داشته شود. پانسمان طبق دستور پزشک تعویض شود و در صورت مشاهده هر نوع قرمزی، ترشح، تورم یا افزایش دمای بدن، مراجعه به پزشک ضروری است.
خیس شدن زخم در حمام یا استخر تا زمان بسته شدن کامل بخیهها ممنوع است. رعایت این موارد خطر عفونت، یکی از جدیترین عوارض بعد از آرتروپلاستی، را به حداقل میرساند.
کنترل درد و ورم
پس از عمل، زانو معمولاً برای چند هفته متورم و دردناک است. مصرف منظم داروهای تجویزشده، گذاشتن کمپرس سرد چند بار در روز و بالا نگهداشتن پا هنگام استراحت، بهترین روشهای کنترل ورم هستند.
فعالیت بیشازحد، ایستادن طولانی یا نشستن با زانوی خمشده میتواند تورم را تشدید کند، بنابراین باید بین استراحت و حرکت تعادل برقرار باشد.
پیشگیری از لخته خون
بیتحرکی پس از عمل، احتمال تشکیل لخته در رگهای پا را افزایش میدهد. برای پیشگیری از این مشکل، استفاده از جوراب واریس و داروهای ضدانعقاد خون (مثل انوکساپارین) طبق دستور پزشک ضروری است.
همچنین حرکت دادن مچ پا و پاها در حالت نشسته یا درازکش به حفظ جریان خون کمک میکند. هرگونه درد، تورم ناگهانی یا تغییر رنگ پا باید سریعاً گزارش شود.
ادامه فیزیوتراپی
فیزیوتراپی در تکمیل روند بهبودی زانو بعد از عمل تعویض مفصل، بسیار اهمیت دارد. تمرینهای منظم روزانه برای افزایش قدرت عضلات ران و بهبود دامنه حرکت زانو طراحی میشوند.
معمولاً جلسات فیزیوتراپی طی چند ماه ادامه دارد تا بیمار بتواند بدون کمک و درد راه برود. نادیده گرفتن این مرحله میتواند باعث خشکی مفصل یا ضعف طولانیمدت عضلات شود.
نقاهت بعد از عمل تعویض مفصل زانو
دوره نقاهت بعد از عمل تعویض مفصل زانو مرحلهای مهم و تعیینکننده در موفقیت جراحی است. در این مدت، بدن باید به مفصل مصنوعی عادت کند و عضلات اطراف زانو دوباره قدرت و انعطاف خود را بهدست آورند.
بیشتر بیماران طی چند هفته میتوانند بدون کمک راه بروند و کارهای روزمره را از سر بگیرند، اما بازگشت کامل به زندگی عادی معمولاً بین سه تا شش ماه طول میکشد.
هفته اول تا سوم؛ کنترل درد
- بیمار ۲ تا ۴ روز در بیمارستان میماند تا وضعیت زخم و گردش خون بررسی شود.
- درد و تورم طبیعی است و با دارو و کمپرس سرد کنترل میشود.
- فیزیوتراپی از روز بعد آغاز میشود؛ هدف، جلوگیری از خشکی مفصل و ضعف عضلات است.
- راه رفتن با واکر ممکن است، اما باید محدود و با احتیاط انجام شود.
- زخم باید خشک و تمیز نگه داشته شود.
هفته چهارم تا ششم؛ بازگشت به راه رفتن
- درد کاهش یافته و دامنه حرکتی تا حدود ۹۰ تا ۱۱۰ درجه افزایش پیدا میکند.
- بیمار میتواند با عصا یا بدون کمک راه برود، اما نشستن روی زمین یا خم شدن زیاد هنوز ممنوع است.
- انجام تمرینات روزانه فیزیوتراپی ضروری است تا زانو نرم و عضلات ران تقویت شوند.
- فعالیتهای سبک مانند پیادهروی کوتاه یا کارهای روزمره مجاز است.
ماه دوم تا سوم؛ بازگشت به زندگی عادی
- تورم کمتر شده و درد خفیف است و فقط پس از فعالیت شدید دیده میشود.
- بیشتر بیماران در این مرحله بدون عصا راه میروند.
- رانندگی معمولاً از هفته ششم به بعد، با تأیید پزشک، مجاز است.
- تمرینات کششی و تقویتی باید ادامه یابد تا زانو ثبات بیشتری پیدا کند.
ماه چهارم تا ششم؛ بهبود کامل
- بیمار میتواند پیادهروی طولانی، شنا یا دوچرخه ثابت انجام دهد.
- هنوز باید از حرکات پر فشار مانند دویدن یا چمباتمه زدن پرهیز شود.
- درد خفیف یا احساس خشکی صبحگاهی طبیعی است و به مرور برطرف میشود.
- در این مرحله عملکرد زانو تقریباً به حالت طبیعی بازمیگردد و بیمار میتواند زندگی فعالتری داشته باشد.
جراحی تعویض مفصل زانو عوارض دارد؟
عوارض بعد از جراحی تعویض مفصل زانو در مجموع نادر هستند و در بیشتر موارد با مراقبت درست، فیزیوتراپی منظم، و رعایت توصیههای پزشکی قابل پیشگیری هستند. با این حال عوارض احتمالی عمل تعویض مفصل زانو این موارد هستند.
-
عفونت محل جراحی: در اثر آلودگی یا بیاحتیاطی در مراقبت از زخم ایجاد میشود؛ با تمیز نگهداشتن پانسمان و مصرف آنتیبیوتیک قابل پیشگیری است.
-
تشکیل لخته خون (ترومبوز): بهدلیل بیتحرکی پس از عمل ممکن است رخ دهد؛ با داروهای ضدانعقاد، جوراب واریس و حرکت مداوم پاها پیشگیری میشود.
-
خشکی یا کاهش دامنه حرکتی: اگر فیزیوتراپی انجام نشود، مفصل ممکن است سفت شود؛ تمرین روزانه بهترین راه جلوگیری از آن است.
-
شل شدن یا ساییدگی پروتز: در بلندمدت و معمولاً بهدلیل اضافهوزن یا فعالیت سنگین ایجاد میشود؛ کنترل وزن و اجتناب از حرکات پر فشار خطر را کاهش میدهد.
-
آسیب عصبی یا عروقی: بسیار نادر است و با جراحی دقیق و مراقبت بعدی تقریباً همیشه قابل پیشگیری است.
-
درد ماندگار یا احساس غیرطبیعی: برخی بیماران تا مدتی پس از عمل احساس سفتی یا صدای تقتق در زانو دارند که معمولاً با گذر زمان و تقویت عضلات برطرف میشود.
علت سنگینی پا بعد از عمل تعویض مفصل زانو چیست؟
احساس سنگینی پا بعد از عمل تعویض مفصل زانو یکی از واکنشهای طبیعی بدن به جراحی است و معمولاً موقتی محسوب میشود. این حالت چند علت مشخص دارد که در ادامه با آنها آشنا میشویم.
-
تورم و التهاب بافتها: پس از جراحی، بافتهای اطراف زانو دچار التهاب میشوند و تجمع مایع در پا باعث احساس سنگینی و فشار میشود.
-
ضعف عضلات ران و ساق: بهدلیل بیتحرکی چند روزه، عضلاتی که مسئول حرکت و پشتیبانی از زانو هستند ضعیف میشوند و بیمار حس میکند پایش سنگینتر از قبل است.
-
تغییر در جریان خون و لنف: کاهش حرکت پس از عمل، باعث کند شدن بازگشت خون و مایع لنفاوی از پا میشود و در نتیجه ورم و احساس سنگینی افزایش مییابد.
-
تطبیق بدن با مفصل مصنوعی: زانو مدتی زمان نیاز دارد تا با وزن و وضعیت جدید مفصل جایگزینشده هماهنگ شود، بنابراین ممکن است تا چند هفته احساس “سنگینی” یا “سفتی” ادامه داشته باشد.
نتیجه عمل تعویض مفصل زانو چیست؟
نتیجه عمل تعویض مفصل زانو به طور کلی در بیشتر بیماران مثبت است، اما مانند هر عمل جراحی دیگر، نتیجه آن برای همه افراد یکسان نیست. این جراحی میتواند درد مزمن و ناتوانکننده را تا حد زیادی برطرف کند و امکان راه رفتن و انجام فعالیتهای روزمره را بازگرداند، اما هیچ مفصل مصنوعی نمیتواند کاملاً جایگزین مفصل طبیعی شود.
سوالات متداول
خم شدن زانو بعد از عمل تعویض مفصل کی امکانپذیر میشود؟





